Skip to main content

Bronchoalveolar Lavage Laboratory

This CLIA-certified laboratory provides analysis of bronchoalveolar lavage cells through performance of differential counts, lymphocyte phenotyping, hemosiderin staining for assessment of alveolar hemorrhage and screening for histiocytosis X. The lab is located on Indiana University School of Medicine’s Indianapolis campus in Walther Hall.

Specimen Processing Hours

Bronchoalveolar Lavage specimens are processed Monday through Friday (8 am to 5 pm). Bronchoalveolar Lavage specimens can be received after 8 am and no later than 4 pm. Specimens are not received or processed by the Bronchoalveolar Lavage Laboratory Saturday or Sunday. The Bronchoalveolar Lavage Laboratory does not accept specimens that are more than 18 hours old.

Individuals interested in analysis from the Bronchoalveolar Lavage Laboratoryshould notify the lab as soon as possible about a scheduled specimen, preferably providing at least 24 hours notice. Bronchoalveolar Lavage Laboratory specimens are not processed on observed Federal holidays or the Monday following a weekend holiday. Questions about scheduling and availability can be directed to the Pulmonary Medicine Office at 317-278-2253.

Protocol for Bronchoalveolar Lavage

Although there is no standardized way to perform bronchoalveolar lavage, this lab has extensive experience and validation of the following protocol:

  • Bronchoalveolar lavage is performed prior to any biopsies, brushes or manipulations of the airway.
  • The bronchoscope is wedged into a subsegment of the middle lobe, anterior segment of a lower lobe or the most affected area. The suction is turned down to prevent collapse of the airways during suctioning. Typically, this is between 40-80 psi (green on the low wall suction pressure indicator).
  • The trap is changed to a fresh, clean trap.
  • Three (3) 50cc aliquots of either saline or Plasmalyte are used.
  • After each 50 cc is instilled, the lab waits a few seconds to dwell and apply constant suction for several seconds (20 seconds typically) until return of the frothy surfactant-rich fluid stops. The next aliquot is instilled and suction applied, repeat for all three aliquots.
  • Once all fluid is collected, the trap is removed and put to the side, preferably on ice. The trash trap or hook up directly to the wall suction is then reapplied and bronchoscopy is performed as needed for biopsies and other procedures.
  • At no time is the bronchoalveolar lavage fluid added to bronchial washings or “trash trap” (is fine for cytology, but not this lab). The bronchoalveolar lavage is then sent this lab on ice by courier.
  • Although return on bronchoalveolar lavage is quite variable (usually 40-60 percent of volume instilled), the lab ideally should receive 30 cc of fluid. The remainder of the fluid could go to cytology or microbiology for culture.
  • Sending less than 15 cc of bronchoalveolar lavage fluid is not recommended due to inability to validate the results with the low number of cells in this amount of fluid.
  • This lab processes the specimen to optimize cell differentials and perform T cell subtyping and other special phenotypic stains. This processing is performed exclusively for evaluation of interstitial and immunologic lung diseases when they are high on the differential. Sample should also be sent to cytology or microbiology as deemed clinically appropriate.

Instructions to Clients

These instructions are for all physicians, clerical, nursing, laboratory or other staff involved in the preservation, transportation and/or collection of bronchoalveolar lavage specimens:

The Bronchoalveolar Lavage Lab should be contacted by phone at 317-278-2253 about a bronchoalveolar lavage request as soon as the procedure is scheduled. At least 24 hours notice is preferable for outpatients, and one hour notice for inpatients. The following information should be provided:

  • Name of patient
  • Hospital and medical record number
  • Name and pager number of requesting physician
  • Date of bronchoalveolar lavage
  • Approximate time that the bronchoalveolar lavage will be delivered
  • Tentative diagnosis

A Bronchoalveolar Lavage Request Form must always be completed in full and legibly and sent with the bronchoalveolar lavage specimen. The time the sample was collected must be reported. For other diagnosis and drug effects, submissions must specify type. Submissions should indicate all three volumes: 1) volume instilled 2) volume returned 3) volume given to BAL lab (necessary since aliquots are sometimes removed and sent to other labs before sample receipt). If more than one bronchoalveolar lavage specimen is sent for the same patient, the site of the bronchoalveolar lavage must be indicated on both the specimen container and the request form. The patient ID label should be placed where indicated on the request form. If a label is not available, a legibly printed name and MRN will be acceptable. Results will not be sent until written consent has been provided. A pager or contact number should always be listed in case there are any questions or missing information.

The specimen label should always contain:

  • Patient name
  • Hospital name and Medical Record Number
  • Date of patient admission
  • All samples should be labeled as a potential biohazard and transported appropriately

The specimen should be placed in a plastic storage bag and accompanied with a completed Bronchoalveolar Lavage Request Form. The specimen should be stored in the refrigerator or on ice. Do not freeze. The sample should be transported on ice and delivered as soon as possible. If the specimen is sent by courier, it is recommended that the client call ahead of delivery.

The specimen should be sent directly to the lab, located at Division of Pulmonary Medicine, Bronchoalveolar Lavage Lab, 980 W. Walnut St., Walther Hall, Rm C440A, Indianapolis, IN 46202.

The Bronchoalveolar Lavage Lab phone number (317-278-2253) should be provided to the courier service in case the courier is having difficulty delivering the specimen.

The Bronchoalveolar Lavage Lab is responsible for processing the specimen by performing centrifugation, removing red cell contamination, preparing and staining cytopreps and determining the cell differential. The lab also subtypes lymphocytes and determines the helper/suppressor ratio if the lymphocyte count is 15 percent or more by the cell differential count. In addition, this lab offers CD1a surface marker staining, hemosiderin staining and oil red O staining (if requested and if the cytoprep is compatible with the diagnosis).

 

Suboptimal conditions and potential causes for sample rejection include:

  • Sample processed more than 24 hours after specimen collection
  • Sample contains less than 1 x 106 cells
  • Bronchoalveolar lavage < 20 percent of volume instilled
  • Sample contaminated with more than 10 percent epithelial cells

All bronchoalveolar lavage samples are processed unless they are not properly identified with the patient name and ID number or arrive at the lab in sub-satisfactory conditions (i.e., container not intact, sample frozen, sample is greater than 20 hours old).

Non-Smoker

Bronchoalveolar Lavage from a healthy non-smoker with over 95 percent alveolar macrophages.

Smoker

Bronchoalveolar Lavage from a smoker with interstitial lung disease, note many carbonaceous alveolar.

Eosinophilic Pneumonia

Sample from a patient with acute eosinophilic pneumonia (>40% eosinophils in the BAL, only two percent in blood). The eosinophils are bi-lobed with pink cytoplasm.

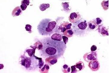
Sarcoidosis

Sample from a patient with sarcoidosis. An intense CD4+ lymphocytic alveolitis is seen. T cell CD4/CD8 subtypes are done by flow cytometry on specimens with more than 15 percent T cells.