With more than 50 subject-matter experts from Indiana University School of Medicine and IU, the Indiana Alzheimer's Disease Research Center is a leader in Alzheimer's disease research. From the discovery of new medications and unraveling mysteries behind rare forms of dementia to shedding light on early-onset Alzheimer's, the center investigates all realms of brain health and dementia-related disease.
Supporting those left behind in research

The AD-REACH study develops a deeper understanding of views of Alzheimer’s disease (AD) research in inadequately represented populations. Researchers and collaborators at the IADRC examine how to develop message content that may motivate potential participants to engage in or avoid Alzheimer's studies. This study will fill a significant gap in the literature by providing valuable information about differences in perceptions and motivations to participate in Alzheimer's biomarker studies.
Current Research
Funded by the National Institute on Aging (NIA), the Longitudinal Early-onset AD Study (LEADS) addresses several major gaps in Alzheimer’s disease and related dementias research. LEADS is an observational study working to develop sensitive clinical and biomarker measures for future clinical and research use. LEADS enrolls and follows 500 cognitively impaired participants and 100 cognitively normal participants ages 40-64 years at approximately 15 sites in the United States.
SpeechDx studies whether small changes in speech and language can help detect Alzheimer's Disease earlier.
VCog tests whether memory and thinking assessments can be done reliably on a computer or video, making testing more accessible.
This study looks at how blood vessel health and inflammation affect memory loss and dementia, with a focus on including diverse populations.
The Dominantly Inherited Alzheimer Network (DIAN) works to find solutions to treat or prevent all forms of Alzheimer’s with a special focus on Dominantly Inherited Alzheimer’s disease (DIAD), a rare form of Alzheimer’s that causes memory loss and dementia in individuals, typically those in their 30s to 50s. The disease affects less than one percent of the total population of people with Alzheimer’s.
The purpose of the study is to learn whether a new smartphone test called the Assessment of Smartphone Everyday Tasks (ASSET) can help doctors make an early diagnosis of Alzheimer’s disease and track early changes in daily functioning.
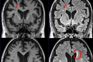
The Alzheimer’s Disease Neuroimaging Initiative (ADNI) unites researchers with study data as they work to define the progression of Alzheimer’s disease. Researchers collect, validate and utilize data, including MRI and PET images, genetics, cognitive tests, CSF and blood biomarkers as predictors of the disease. Since its launch in 2004, the study has made major contributions to Alzheimer's disease research, enabling the sharing of data between researchers around the world.
The Novel Diagnostic Test for Alzheimer's Diseases aims to determine if pramlintide, an injectable drug that lowers the level of sugar in the blood, can be used to help diagnose Alzheimer’s disease.
The Indiana Memory and Aging Study uses brain imaging and genetic biomarkers, cognitive and sensory testing and behavior ratings to study memory processing as it relates to aging in the brain.
Since 2016, the Social Networks and Alzheimer’s Disease leverages neuroimaging biomarkers to examine social and biological mechanisms underlying relationships between personal social networks and patterns of neurodegeneration in early stages of Alzheimer's disease.
The Alzheimer Gut Microbiome Project aims to understand the gut microbiome's role in Alzheimer's disease (AD) pathogenesis. Samples collected as part of the project are analyzed in an attempt to define the communication between the brain and the gut, and to improve the understanding of neurodegenerative and psychiatric diseases in the context of influences including diet, lifestyle and the microbiome.
PRIMA is a three-month, no-cost, skill-training program designed for individuals with mild cognitive impairment and an adult study partner (family member, relative or friend) to work together to adapt to changes that might occur. The goal of the project is to aid individuals with Mild Cognitive Impairment by:
- Enhancing daily meaningful activity engagement
- Maintaining effective self-management of daily living
- Finding and using available resources and assistance
This study checks for liver health problems, like fatty liver disease, in people with memory issues by using a quick, non-invasive scan called a Fibroscan.
CLARiTI is funded by the National Institute on Aging (U01 AG082350) and located in the Department of Medicine at the University of Wisconsin-Madison School of Medicine and Public Health, Sterling Johnson, PhD, Principal Investigator. CLARiTI combines medical history, brain scans, and lab tests to find the best ways to detect Alzheimer’s early and track it over time.